台式扫描电子显微镜(SEM)全新升级。
我们以“更高画质、更易于使用、更易于观察”为理念,开发出TM4000系列。在此基础上,我们又推出功能更为多样的TM4000Ⅱ系列。
为您提供全新的观察和分析应用。

自动获取各类数据。快速切换!

可快速获得元素分布图*2

*1 TM4000PlusⅡ的功能。
*2 选配
使用Camera Navi*的话,就是如此简单Camera Navi图像让您轻松找到视野,分布图(MAP)功能全程支持您的观察

*
选配:Camera Navi系统
您也可以观看视频
操作简单且快捷观察图像只需 3 分钟。
可快速观察图像,并导出测试报告。
Report Creator可让您轻松制作报告
只需选择图像和模板,就可以制作Microsoft Word、Excel、PowerPoint格式的报告

对于容易产生静电的样品,可使用“静电减轻模式”,在抑制静电的状态下进行观察。
只需用鼠标在软件上点击即可切换到“静电减轻模式”。

对于容易产生静电的粉末或含水等样品,可结合其目的进行观察。

不仅是观察传统的导电性样品,还可以在无预处理的条件下观察绝缘物和含水、含油样品。可快速进行二次电子像与背散射电子像之间的切换。
高感度低真空二次电子检测器
采用高感度低真空二次电子检测器(UVD)。通过检测由于电子线与残留气体分子之间的碰撞而产生的光,可以观察带有二次电子信息的图像。此外,通过控制该检测器,来检测电子照射所产生的光,可以获得CL信息(UVD-CL:带有CL信息的图像)。

高感度低真空二次电子检测器的检测原理

TM4000Ⅱ/TM4000Plus II可支持加速电压20 kV。
凭借EDS分析(选配),可进行更高计数率解析。

可实现在广域范围内进行SEM观察。
搭配自动马达台,可实现低倍率,高精度,大范围的观察分析。

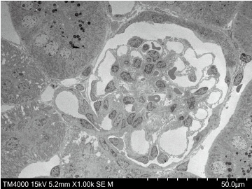
与全新开发的 STEM 样品台和高灵敏度低真空二次电子检测器(UVD)配合使用,可轻松观察小倍率 STEM 图像。
可轻松观察薄膜样品和生物样品。

* UVD为 TM4000Plus II上的配件。



样品:研磨剂
加速电压:20 kV
观察信号:(a) STEM 图像, (b) 背散射电子像
放大倍率:10000 倍

样品:老鼠肾脏
加速电压:15 kV
观察信号: STEM 图像
放大倍率:1000倍

样品:老鼠肝脏
加速电压:15 kV
观察信号: STEM 图像
倍率:5000倍
规格
| 项目 | TM4000PlusII | TM4000II |
|---|---|---|
| 倍率 | ×10~×100,000(照片倍率) ×25~×250,000(显示器倍率) | |
| 加速电压 | 5 kV、10 kV、15 kV、20 kV | |
| 图像信号 | 背散射电子 二次电子 复合图像(背散射电子+二次电子) | 背散射电子 |
| 真空模式 | 导电体(仅背散射电子) 标准 静电减轻 | 标准 静电减轻 |
| 样品可移动范围 | X:40 mm Y:35 mm | |
| 最大样品尺寸: | 80 mm(直径) 50 mm(厚度) | |
| 电子枪 | 集中灯箱(Pre-Centered Catridge Filament) | |
| 检测器 | 背散射电子:高感度4分割 背散电子检测器 二次电子:高感度低真空 二次电子检测器 | 背散射电子:高感度4分割 背散射电子检测器 |
| 排气系统 (真空泵) | 涡轮分子泵:67 L/s 1台 隔膜泵:20 L/min | |
| 尺寸与重量 | 主体:330(宽度)×614(进深)×547(高度) mm、54 kg(附带马达驱动的样品台) 主体:330(宽度)×617(进深)×547(高度) mm、54 kg(附带手动样品台) 隔膜泵:144(宽度)×270(进深)×216(高度) mm | |
台式显微镜 TM4000II/TM4000PlusII由日立高新技术公司 为您提供,如您想了解更多关于台式显微镜 TM4000II/TM4000PlusII报价、参数等信息 ,欢迎来电或留言咨询。

拨打电话
发送询价